CABINET DENTAIRE DE LA JARNE
Docteur Erick DUFOUR, Docteur Jean-Baptiste CHATEAUVIEUX, Docteur Louis FRANCOIS - Chirurgiens-Dentistes
Accueil
Le cabinet
Plan d'accès
Fiches Conseils
Nos vidéos
Questionnaire pré-RDV
Urgences
Accueil
Le cabinet
Plan d'accès
Fiches Conseils
Nos vidéos
Questionnaire pré-RDV
Urgences
CABINET DENTAIRE DE LA JARNE
Docteur Erick DUFOUR, Docteur Jean-Baptiste CHATEAUVIEUX, Docteur Louis FRANCOIS - Chirurgiens-Dentistes
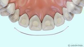
Fil de contention
Vidéos 3D
Précédent
La technique invisalign® – align technology
Suivant
Le surfaçage
Articles similaires
L'hygiène en orthodontie
Vidéos 3D
Traitement orthodontique esthétique par gouttières
Vidéos 3D
Conseils pratiques pour une bonne hygiène bucco-dentaire avec un appareil
Vidéos 3D
Conséquence de la perte des dents postérieures
Vidéos 3D
Partager
Twitter
Partager
Partager
Envoyer
Copier
Catégories
Informations pratiques
(8)
L'équipement du cabinet dentaire
(4)
L'orthodontie
(22)
Les choix esthétiques
(13)
Les dents chez l'adulte
(6)
Les dents de l’enfance à l’adolescence
(14)
Les dents et la santé
(26)
Les gencives
(28)
Les implants
(25)
Les pathologies bucco-dentaires
(31)
Les prothèses
(35)
Omnipratique
(207)
Prendre soin des dents
(25)
CABINET DENTAIRE DE LA JARNE
Politique de confidentialité et charte cookie
Mentions légales
Conditions Générales Utilisation
Création par
Connexion